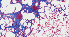
Idiopathic pulmonary fibrosis (IPF)
Durotaxis—cell migration along stiffness gradients—is implicated in development, repair, and disease, though its in vivo role remains unclear. We show that durotaxis actively drives disease progression in mouse models of lung fibrosis (IPF) and metastatic pancreatic cancer. In fibrosis, it guides fi...


